아기들은 면역력이 약해서 구내염이 잘 생깁니다.
밥을 아무리 잘 먹고 쑥쑥 커나간다고 해도 어른만큼의 면역력을 기대하기라는 어려운 일이지요.
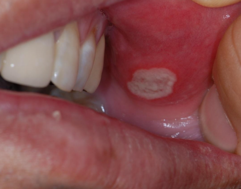
일반적으로 구내염은 구강 점막에서 발생하는 염증성 질환을 의미합니다.
입술에 하얀 구멍이 생긴다거나 입안에 볼 쪽 피부, 혹은 혀, 잇몸 등 침이 닿는 부위에 존재하는 점막의 다양한 부위에서 구내염이 발생할 수 있습니다.
구내염은 사실 구강 통증 및 구강 염증질환 중 하나인데 이것에 대해 좀 더 알아보고 아기 구내염 약으로 리보테인이 괜찮은 이유에 대해서도 알아보겠습니다.



구강통증, 염증 질환이란?
구강 통증 및 염증 질환은 구강점막이나 입술에 궤양이 생긴다거나 염증이 발생하여서 따갑고 아프며 빨갛게 붓는 것을 의미합니다.
구내염은 구강에 발생하는 동통이 느껴지는 염증성 질환을 의미합니다.
크게 궤양성 구내염, 미란성 구내염, 수포성 구내염 등이 존재하며, 혀나 혀 밑부분, 연구개, 입술선의 양쪽, 볼 안쪽 등 입안에서 움직이는 부분에서 주로 나타납니다.
비각질성 점막 표면에서 상피 궤양의 형태로 나타나는 게 일반적입니다.
구강통증 및 염증 질환에 속하게 되는 나머지 질환 구순포진과 치주질환에 대해서도 짧게 정리하면 다음과 같습니다.
구순포진은 주로 단순 헤르페스 바이러스(HSV)에 의해서 발생하는 것으로 바이러스 감염에 의해 입술에 물집이 나타나거나 열성 수포의 형태로 나타납니다.
치주질환도 구강통증 및 염증 중 하나입니다.
치주질환은 일반적으로 치조골이라고 하여 치아 주위의 잇몸과 치아를 단단하게 지지해주는 치조골에 발생하는 질환입니다.
치주질환이 얼마나 심화되었냐에 따라 치은염, 치주염으로도 나뉘게됩니다.
| 구강 질환의 종류 | 구내염 |
| 구순포진 | |
| 치은염, 치주염 |
구내염의 원인
구내염은 왜 발생하게 되는 것일까요?
구내염은 보통 세균이나 바이러스, 곰팡이 등에 의해 발생하는 감염이 일반적입니다.
비타민 결핍이나 철분 결핍 등의 영양장애는 점막의 면역 시스템을 약화시켜서 병원체가 구강 점막 내로 침입하기 유리한 상태로 만듭니다.
또한, 전신 피로, 만성 피로, 고열, 감기로 인한 면역 장애, 구강 위생 불량, 외상 등에 의해서도 구강 내 면역 시스템이 악화되어서 구내염에 걸리기 쉬워집니다.
틀니나 치아미백제, 치아교정기 등의 사용으로도 구내염이 발생할 수 이씃빈다.

구내염은 형태에 따라 궤양성 구내염, 수포성 구내염, 미란성 구내염 등으로 구분됩니다.
궤양성 구내염은 깊이가 얕고 크기도 작지만 여러 개가 모여서 발생하는 구내염입니다.
주로 입술 안쪽이나 뺨 점막, 혀의 가장자리에 1개~5개 정도가 옹기종기 모여있는 경우가 많습니다.
수포성 구내염은 수포가 생기도 동통을 유발하는 궤양입니다.
크기는 크지 않고 개수가 궤양성 구내염처럼 여러개가 나타는개 일반적입니다.
미란성 구내염은 점막이나 피부에 구진, 결절, 모세혈관 확장 등이 발생하고, 크기가 다양하고 수포, 미란, 출혈 등을 동반하는 구내염이라고 이해하면 되겠습니다.
아기 구내염 약
아기들은 높은 에너지와 다양한 영양소를 고루고루 섭취해야 합니다.
그럼에도 불구하고 면역계가 성인만큼 발달하지 않았기 때문에 구내염 같은 질환에 걸리기 쉽습니다.
특히 말을 잘 못하는 아기들한테 구내염이 생기면 통증으로 인해 칭얼거리고 밥도 잘 먹지 않게 됩니다.
아기들의 경우, 전신 작용 우려로 인해 스테로이드 약물을 쓰기 조심스럽습니다.
오라메디나 페리덱스 같은 것은 트리암시놀론(triamcinolone)이라는 스테로이드 성분이 들어갑니다.
물론 소량 복용해도 큰 문제가 없으나 이것은 성인에 국한되어 나오는 이야기이기 때문에 어린 사람들에게는 조심스러워질 수 밖에 없죠.
그리고 알보칠은 너무 강한 자극성 때문에 아이들에게 쓰기 꺼려집니다.
알보칠은 혈관을 강력하게 수축시키고, 감염된 세포를 화학적으로 사멸시키는 작용 때문에 보통 '지진다'고 표현을 합니다.
물론 정제수에 희석해서 사용할 수도 있지만, 그래도 떨어진 면역력을 높이는 것보다는 선호되는 방법은 아닙니다.



이때 고려할 수 있는 것은 리보테인정입니다.
리보테인정은 성인들도 복용할 수 있는 일반의약품입니다.
리보테인에 들어있는 성분은 비타민B군과 C군이 복합적으로 들어있는 약물입니다.
성분을 하나하나 알아보면 다음과 같습니다.
- 리보플라빈 퓨티레이트
- 피리독신 염산염
- 니코틴산 아마이드
- 비오틴
- L-시스테인
비타민B군은 세포의 대사 활동에 매우 중요한 역할을 하는 수용성 비타민입니다.
따라서 비타민B군이 부족하게 되면 면역 시스템이 약해지고, 신경계의 기능도 약화되며 신진대사도 억제됩니다.
이렇게 되면 결국 구내염이 발생하기 쉬운 환경으로 되는 것이지요.
리보테인에 들어있는 비타민B군은 떨어진 면역력을 높이고, 신경계 기능도 강화하며 신진대사를 촉진시켜 체내 방어작용을 활성화시키고 망가진 구강 내 점막이 복구되도록 도와줍니다.
그리고 비타민C는 결합 조직에 중요한 역할을 하는 콜라겐을 형성하는데 도움을 주어 조직이 재상하는데 효과를 발휘합니다.
그리고 감염에 대한 저항력도 높여 괴혈병의 예방과 치료, 구강내 출혈을 멈추도록 도와줍니다.
만 3개월 이상일 경우 사용할 수 있으며, 연령과 몸무게에 맞춰 복용하면 구강질환과 피부질환에서 회복하는데 도움을 줄 수 있습니다.
'일반의약품' 카테고리의 다른 글
| 조루 치료제 총정리 : 조루 젤, 크림, 스프레이, 약물(네노마정) (0) | 2024.09.13 |
|---|---|
| 일본 변비약 슬림락정 성분과 효과는? (1) | 2024.09.12 |
| 약국 방광염약 여성들의 상비약, 요비신(용담사간탕)에 대해 가격까지 자세하게 정리 (0) | 2024.09.02 |
| 다래끼 약국약 마이노신 치료 효과와 다래끼 원인, 속다래끼 겉다래끼 어떻게 다른지 알아봐요 (2) | 2024.08.28 |
| 현직 약사가 설명하는 치매예방약 처방 없이 구할 수 있는 메모레인, 부작용은? (1) | 2024.08.28 |