아기들은 면역력이 약하기 때문에 이런 저런 감염 질환에 잘 걸리는 거 같습니다.
특히 만 6개월 이하의 아기에게서 아구창은 통과의례라고 불릴 정도로 쉽게 걸리는 질환이기도 합니다.
아기 아구창은 아이들이 밥을 제대로 먹지도 못하고 칭얼 대는 것뿐만 아니라, 아이들 사이에서 쉽게 전염될 수 있다는 것도 큰 문제 중 하나입니다.
아이들의 경우에는 아무래도 입에 무언가를 넣는 일도 많고, 이것저것 호기심이 많기 때문에 자꾸 만지고 또 옮기는 경향이 있습니다.
그렇기 때문에, 아이들은 구강 내로 아구창이 잘 감염되고 또 다른 데로 전염을 잘 시키곤 하죠.
성인의 경우에는 에이즈에 걸린 사람이나 혹은 당뇨병 환자들에게서 잘 발생합니다.
각각 왜 잘 걸리는지에 대해서는 원인이 다르지만 그래도 결과적으로 면역력이 약해져서 아구창 감염이 쉽게 일어나는 편입니다.
도대체 아구창은 무엇으로 인해서 생기는지 알아보고, 어떻게 해서 전염이 되는지 한번 체크해보도록 하겠습니다.
아기, 성인 왜 아구창이 생길까요?



아구창이 생기는 원인에 대해 먼저 살펴보도록 하겠습니다.
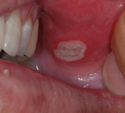
아구창이라는 것은 칸디다성 구내염을 말하는 것으로 한자로는 鵝口瘡(아구창)이라고 씁니다.
가끔 아구창을 욕이 아니냐고 하는 분도 계시지만, 엄연한 한자어이자 표준말입니다.
아구창은 칸디다 알비칸스라고 하는 곰팡이균에 의한 구강 감염입니다.
칸디다 알비칸스는 학명으로 Candida albicans라고 씁니다.
일반적으로 칸디다 알비칸스는 이렇게 수분이 많은 점막을 선호하는데, 여성 질 내부, 그리고 남녀 공통으로 구강, 눈점막 등이 칸디다 알비칸스의 주된 표적입니다.
아기나 성인이나 칸디다 알비칸스에 의한 구내염이 발생하는 이유는 바로 면역력 저하입니다.
사실 아구창(칸디다성 구내염)은 기회감염입니다.
기회감염이란, 면역력이 떨어졌을 때, 우리 몸에서 얹혀살고 있던 세균이나 곰팡이, 바이러스가 숙주를 공격하기 시작하는 것을 의미합니다.
아기의 경우 면역 시스템이 제대로 성숙해있지 않기 때문에 감염이 쉽게 일어납니다.
적절하게 항진균제를 사용하고 푹 쉬게 한다면 아구창은 금방 나을 수 있습니다.
네뷸라이저를 자주 사용하는 아이들에게도 아구창이 생기기 쉽습니다.
왜냐하면 네뷸라이저로 풀미칸과 같은 스테로이드 계열의 약물을 사용하는 일이 많은데, 이런 스테로이드를 쓰게 된다면 결국 면역력이 억제되는 일이 발생하기 때문에 곰팡이균이 증식하려고 하는 성향이 쉽게 일어날 수 있기 때문입니다.
따라서, 아구창 감염을 예방하기 위해 네뷸라이저 사용 후, 반드시 구강을 깨끗하게 가글하는 게 필요합니다.
성인의 경우, 당뇨를 앓고 있는 사람들에게서 아구창이 쉽게 생깁니다.
왜냐하면 당뇨병 환자는 혈액 속에 포도당이 많기 때문에 곰팡이균이 필요로 하는 에너지를 쉽게 얻을 수 있기 때문입니다.
이 뿐만 아니라 세균 감염이나 바이러스 감염에도 노출이 많이 되어 있는 것은 바로 당뇨병 환자의 병세 특성 때문이라고 보면 되겠습니다.
에이즈 환자의 경우에도 아구창이 쉽게 생깁니다.
에이즈 환자가 아구창이 생기는 것은 면역력 저하로 인한 것입니다.
보통 후천성 면역 결핍증에 걸릴 경우, helper T cell의 수가 줄어들기 때문에 후천 면역 시스템이 망가지게 됩니다.
따라서, 면역력이 떨어진 숙주 상태를 확인한 칸디다 알비칸스가 그 수를 갑자기 늘려 구강 내에 곰팡이성 구내염을 만드는 것이라고 이해하시면 됩니다.
아구창 전염 될까?



아구창은 전염이 될 수 있습니다.
물론 면역력이 강한 성인이라면 아구창에 감염된 사람이 근처에 오더라도 크게 감염증상이 나타날 일은 드뭅니다.
하지만 아이들이라면 말이 달라집니다.
아기들이 있는 어린이집의 경우 아이들이 입 안에 무언가를 넣었다가 뻈다가 하면서, 무언가를 만지기까지 한다면 주변으로 칸디다 알비칸스를 퍼뜨리는 것은 순식간입니다.
따라서 아이가 아구창에 감염되었을 경우에는 다 낫기 전까진 가능한 한 집에서 치료를 하면서 돌봐주시는 것이 좋습니다.
동시에 가족에게 퍼지지 않도록 위생에 각별히 신경 써주시는 게 필요하겠습니다.
'건강정보' 카테고리의 다른 글
| 음경과 요도가 가려울 때 어떻게 해야할까요? (1) | 2024.10.31 |
|---|---|
| 음경 귀두에서 피날 때, 어떻게 대처해야 할까요? (0) | 2024.10.31 |
| 맥스포스겔 바퀴벌레부터 개미까지 다 죽여요 (1) | 2024.10.09 |
| 약국 쥐약 잡스 살서제 원리, 효능, 쥐약 먹었을 때 대처법 (3) | 2024.10.06 |
| 경구 피임약 복용법, 주의사항, 특징, 주의사항 총정리 (1) | 2024.09.28 |